Working Time
- Mon-Fri 08:00 - 20:00
Saturday 08:00 - 18:00
Contact Info
Tooth Extraction
A wisdom tooth is the last molar tooth in the mouth that appears at a later age. Wisdom teeth are usually four in number two in the upper jaw and two in the lower jaw. Most often wisdom teeth do not have enough space to erupt straight in the mouth. Due to this they get decayed posing a threat to neighboring teeth as well. Impacted wisdom teeth can be very painful and can cause constant nagging pain, ear/jaw ache, difficulty in opening the mouth /chewing etc. If left in the mouth for a long time they can develop infection which spreads to surrounding gums and bone.
WHO IS THIS PROCEDURE FOR?
Wisdom tooth extraction is recommended in cases of decayed, un-erupted or wrongly erupting last molar teeth. Symptoms of the above may be pain while opening their mouth or chewing food, severe or dull nagging tooth ache, ear/jaw pain, difficulty in eating due to swelling of gums around the tooth.
PRE TREATMENT PREPARATION
It is not recommended to those patients who have sensitive teeth , exposed root surfaces , caps (crowns), veneers or fillings and if there is any internal discolouration due to injury / trauma.
PRE TREATMENT PREPARATION
A detailed consultation should be done with the dentist to understand why wisdom tooth extraction is a must for everyone. Not removing a potential troublesome wisdom tooth may lead to may complications:
- Tilted or wrongly erupting wisdom teeth are very difficult to clean and will most definitely get decayed if extraction is prolonged.
- Decay will spread to neighbouring teeth leading to cavities or even root canal.
- Swelling and infection around the tooth and gums may spread to the bone.
- In extreme cases infection may lead to cyst formation.
- Pressure from the wrongly erupting wisdom tooth causes the front teeth to become crooked or crowded, hence affecting smile symmetry.
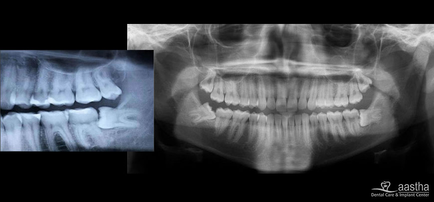
OPG X-ray is advised to check the presence and alignment of the wisdom tooth in relation to the adjoining bone and nerves. Both medical and dental histories are taken to avoid any complications.
Antibiotics are advised prior to the extraction to avoid infection and ensure smooth healing of the area Don't forget to ask your Dental Surgeon for His/ Her qualifications and experience in the field of Wisdom Teeth Extractions.
PROCEDURE
When carefully executed by skilled and experienced doctors it is a very safe and predictable procedure. Local anaesthesia is used and the teeth are carefully and delicately removed. In some cases surrounding bone may need to be trimmed to remove the tooth. The opening left after the extraction is sealed with stitches to avoid any bleeding and ensure healing.
- When anesthesia wears off there may be jaw stiffness, difficult in opening mouth, pain.
- Don't rinse, spit forcibly or drink from a straw for 24 hours.
- Analgesics/pain killers are prescribed for controlling the discomfort.
- Eat soft foods / liquid like smoothies, yogurt, shakes, pudding, soups, pureed foods etc.
- Avoid spicy foods, nuts, popcorn, smoking, tobacco etc.
- Avoid brushing and flossing on the extraction site for a day.
- After 24 hours, rinse with a solution of 1/2 teaspoon of salt mixed with 1 glass of warm water.
- Maintain oral hygiene by regular brushing twice a day and flossing.
- Visit your dentist every 3-6 months.
- Eat healthy foods like green vegetables, fruits and dairy products like milk, cheese.
- Drink plenty of water before and after meals so the unwanted food particles are flushed out.
- Limit the consumption of acidic foods and beverages like tea, coffee, fizzy drinks.
- Limit the consumption of sticky foods like pizza, candies, chocolates etc.
- Avoid biting finger nails, pen's cap, pencils etc and avoid using your teeth to open bottles or to tear packets.
